
هیستروسکوپی رحم در تبریز؛ تشخیص دقیق و درمان بدون درد
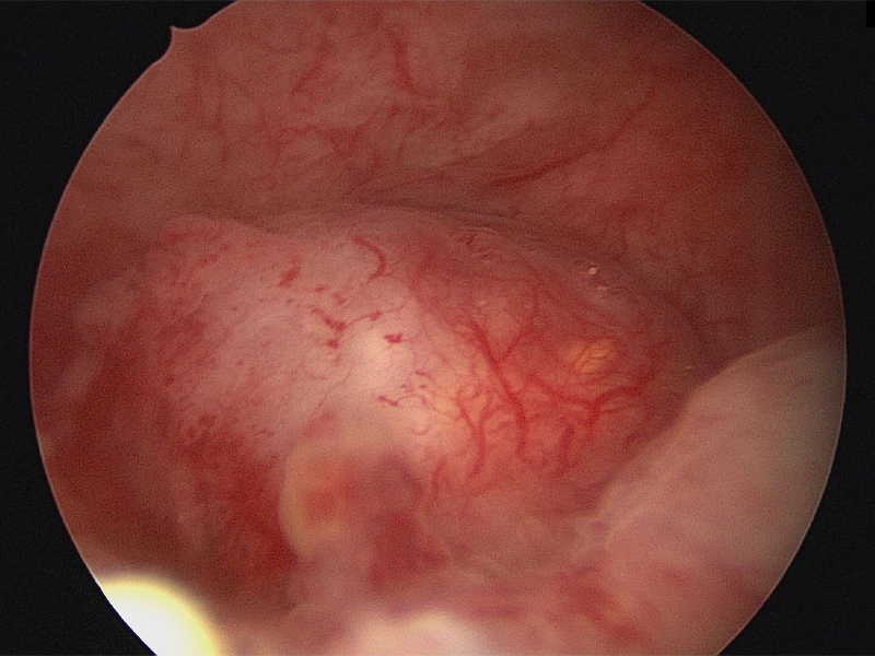
هیستروسکوپی رحم روشی برای مشاهده و بررسی کامل داخل رحم محسوب میشود. بیماریهای زنانه مانند آندومتریوز و کیستها معمولا در رحم رخ میدهند و میتوانند
دکتر سارا نوروزی / هیستروسکوپی

هیستروسکوپی رحم روشی برای مشاهده و بررسی کامل داخل رحم محسوب میشود. بیماریهای زنانه مانند آندومتریوز و کیستها معمولا در رحم رخ میدهند و میتوانند

هیستروسکوپی میومکتومی یکی از روشهای کمتهاجمی و موثر برای درمان فیبرومهای رحمی (میومها) است که با استفاده از یک دستگاه نازک و دوربیندار به نام

تصمیم به انجام جراحی هیستروسکوپی رحم سوالات بیشماری را با خود به همراه دارد که پررنگترین آنها هزینه جراحی هیستروسکوپی رحم است. در این مقاله

یکی از پرتکرارترین سوالات در عمل هیستروسکوپی این است که آیا احتمال بارداری بعد از هیستروسکوپی وجود دارد. همانطور که میدانیم هیستروسکوپی یک روش کمتهاجمی

هیستروسکوپی یک روش تشخیصی و درمانی به شمار میرود که مهمترین نکته و اولین قدم در انجام این عمل جستجو دکتر خوب برای عمل هیستروسکوپی

یکی از نگرانیهای شایع در بین افراد در انجام این عمل، عوارض هیستروسکوپی است. عمل هیستروسکوپی یک روش کم تهاجمی برای درمان پاتولوژی داخل حفره

مراقبت های بعد از هیستروسکوپی رحم یکی از مهمترین نکاتی است که با رعایت آن میتوان از بروز عوارض پیشگیری کرد. همانطور که میدانیم هیستروسکوپی